Odontogeriatria - Saiba Mais
Curiosidades
COM A IDADE QUAIS OS PRINCIPAIS PROBLEMAS QUE PODEM SURGIR NA CAVIDADE ORAL, NOS DENTES, NAS GENGIVAS E NAS MUCOSAS?
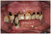
Os problemas mais comuns que surgem com a idade são as cáries, principalmente as cáries radiculares (raízes dos dentes), a doença periodontal (gengivas), a perda de dentes, as alterações funcionais da cavidade oral (mastigação), o desgaste dentário, o cancro oral, a xerostomia (sentir a boca seca) e a dor crânio-facial.Outras alterações associadas à idade estão relacionadas com o aparecimento de mucosas sensíveis e finas, alteração da cor dos dentes e diminuição da percepção de certos sabores.
PERANTE PROBLEMAS COM A MINHA SAÚDE GERAL POSSO FAZER TRATAMENTOS COM SEGURANÇA NO MÉDICO DENTISTA?
Sim, é importante visitar o Médico Dentista e informá-lo de todos os problemas de saúde e dos medicamentos que está a tomar. Deste modo, o tratamento médico dentário decorrerá em segurança, pois o profissional irá tomar todos os cuidados necessários e realizar os tratamentos adequados a cada situação clínica.
É IMPORTANTE INFORMAR O MEU MÉDICO DENTISTA DE TODOS OS MEDICAMENTOS QUE TOMO?
Sim, pois alguns medicamentos quando tomados de forma continuada tem repercussões na cavidade oral e nos tratamentos. O Médico Dentista poderá ajustar a terapêutica prescrita e realizar os tratamentos na cavidade oral com segurança, diminuindo ou mesmo evitando interferências desses medicamentos.
É IMPORTANTE MANTER OS DENTES NATURAIS?
Sim, devemos procurar manter os dentes naturais usando os recursos da Medicina Dentária. Um único dente pode ser um meio de retenção de uma prótese removível, durante alguns anos. Os cuidados preventivos a ter com este dente, nomeadamente o número de visitas a realizar ao Médico Dentista, deve ser o mesmo, como se existissem mais dentes na cavidade oral.
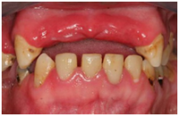
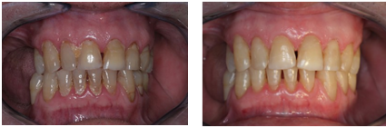
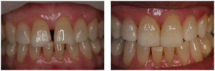
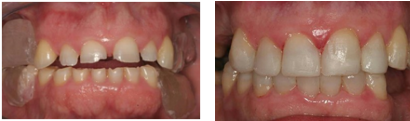
AS ALTERAÇÕES ESTÉTICAS, DE DENTES E DAS GENGIVAS, QUE SURGEM COM A IDADE, PODEM SER CORRIGIDAS?
EXISTEM RISCOS EM MANTER NA CAVIDADE ORAL OS DENTES NATURAIS?
Não, desde que os dentes não apresentem problemas de cárie, doença periodontal (gengivas), ou estejam a provocar trauma das mucosas ou qualquer outra alteração que possa prejudicar a saúde em geral. Deve ser o Médico Dentista a avaliar a sua saúde oral e, em conjunto estabelecer um plano de tratamento adequado.
QUAIS OS PROBLEMAS MAIS GRAVES QUE PODEM SURGIR COM A PERDA DOS DENTES NATURAIS?
Para além das alterações estéticas, fonéticas e funcionais a perda de um dente provoca na boca alterações nomeadamente nos outros dentes, pois alteram a relação que estes estabelecem, isto é, os restantes dentes movem-se para os espaços que ficam “vazios” sofrendo rotações e versões e alterando a oclusão (mordida).
QUANDO OS DENTES “ABANAM”, OU AS GENGIVAS SANGRAM E DOEM, O QUE DEVO FAZER?
Deve dirigir-se com a máxima urgência ao Médico Dentista para que este avalie o estado da boca. Poderá ser urgente, para além de outras medidas, a realização de uma destartarização (limpeza) para eliminar a placa bacteriana e/ou tártaro que constituem causas desta situação clínica. A placa bacteriana é uma espécie de película que adere aos dentes e às gengivas e quando não é removida transforma-se em tártaro duro e rugoso, lesivo para as gengivas e para o suporte dos dentes, provocando,numa fase mais avançada, dor e mobilidade dentária.
QUE MEDIDAS PREVENTIVAS APLICAR PARA AJUDAR A MANTER A SAÚDE DA MINHA BOCA?
Escovar os dentes diariamente, pelo menos duas vezes por dia, uma das quais obrigatoriamente antes de deitar, com uma escova média, e usar escovilhões interdentários ou fio dentário para hieginizar os espaços entre os dentes e um raspador lingual para limpar a língua. Usar diariamente um dentífrico fluoretado e um suplemento de flúor, em bochecho, é o ideal para prevenir a cárie dentária e a perda de dentes.
Deve visitar o Médico Dentista pelo menos 2 vezes por ano.
COMO POSSO MANTER UMA BOA SAÚDE ORAL NA MINHA IDADE?
Marcando uma consulta numa clínica de Medicina Dentária, onde o Médico Dentista poderá identificar os problemas orais e dar informações de como os solucionar, em função das necessidades de cada individuo.
MESMO NÃO TENDO DENTES NATURAIS DEVO CONSULTAR UM MÉDICO DENTISTA COM REGULARIDADE?
Sim, com o passar do tempo os tecidos orais sofrem modificações podendo surgir lesões que quando não controladas se podem transformar em lesões malignas. Os portadores de próteses dentárias totais sofrem alterações das mucosas e desajustes das próteses, que deverão ser corrigidas para evitar feridas e lesões graves.Em algumas situações devem avaliar-se as infecções por fungos associadas ao uso de próteses dentárias.
Fonte: Folheto educativo – Saúde Oral Sénior – OMD
